إليك فيما يلي علامات وأسباب الحمل بتوأم مع العوارض، التفاصيل الكاملة بين يديك في السطور التالية لموقع عائلتي لليوم
يعني الحمل بتوأم وجود جنينين في الرحم، وهذا أمر نادر الحدوث والسبب يعود إلى التاريخ العائلي أو العلاجات الخصوبة. يستطيع الطبيب اكتشاف التوائم مبكرًا باستخدام الموجات فوق الصوتية. خلال الحمل بتوأم يزداد خطر حدوث مضاعفات على المرأة الحامل والجنين، ولهذا السبب من الضروري اتباع نظام رعاية متكررة قبل الولادة. وهنا تعرّفي على أيام التبويض للحمل بتوأم ذكور
ما هو الحمل بتوأم؟
يحدث الحمل بتوأم عندما يكون هناك جنينان في الرحم في وقت واحد.
ما هي فرصة في الحصول على توأمان؟
فرص الحمل بتوأم هو نوع من الحمل المتعدد، منخفضة. يحدث التوائم بشكل طبيعي في حالة واحدة من كل 250 حالة حمل. وهنا تعرفي على حاسبة التبويض للحمل بتوأم

ما هي علامات الحمل بتوأم؟
هناك ظروف معينة تتوافق مع حمل أكثر من جنين واحد. لكن ظهور علامات الحمل بتوأم لا يعني دائمًا أن الشخص يحمل جنينين. ومن هذه العلامات، والتي يظهر بعضها في الأسابيع الأولى من الحمل، ما يلي:
- حركة الجنين المبكرة
- حركة الجنين في أكثر من منطقة
- ارتفاع قاع الجنين أكبر من عمر الحمل.
- ازدياد حجم البطن أكبر من المتوقع
- زيادة الوزن بسرعة
- وجود مستويات عالية من هرمون الحمل
- سماع أكثر من نبضة قلب على دوبلر الجنين
ما هي عوارض الحمل بتوأم؟
تتشابه عوارض الحمل بتوأم مع عوارض الحمل في جنين واحد، ولكنها قد تكون أكثر حدة لذلك قد تواجه:
- تحجر الثدي
- التعب الشديد
- كثرة التبول
- زيادة الشهية
- غثيان صباحي
كيف يتم التأكد من الحمل بتوأم؟
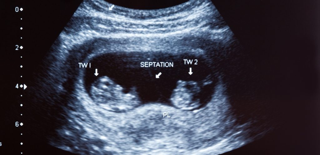
الطريقة الأكثر تأكيدًا للحمل بتوأم هي الموجات فوق الصوتية قبل الولادة. يستخدم هذا الاختبار الموجات الصوتية لإنتاج صور للرحم، كما تتيح الموجات فوق الصوتية معرفة ما إذا كان هناك جنينان أم لا. وهنا اكتشفي كيفية معرفة الحمل بتوأم من الشهر الأول
كيف يختلف بطن الحمل التوأم عن البطن المفرد؟
سوف تظهر بطنك في وقت مبكر عند الحمل بتوأم. قد تحتاجين إلى ملابس الأمومة بعد وقت قصير من معرفة أنك حامل والسبب هو اتساع بطنك والوزن الزائد يزيد من حجم ملابسك بسرعة.

ما هي العوامل أو الأسباب التي تزيد من الحمل بتوأم؟
العمر
النساء التي تزيد أعمارهن عن 35 عامًا هم أكثر عرضة لإطلاق بويضات متعددة أثناء الإباضة.
التاريخ العائلي
إذا كان لدى الوالدة تاريخ من التوائم غير الشقيقة، فهناك احتمال أن تحملي بتوأم بشكل طبيعي.
علاجات الخصوبة
يعد الحمل بتوأم أكثر شيوعًا لدى النساء اللواتي لديهن علاجات الخصوبة، مثل الإخصاب في المختبر. وقد يهمك عوارض الحمل بتوأم بعد الإبرة التفجيرية: كل ما تردين معرفته
الإصابة بالسمنة
النساء اللواتي لديهن مؤشر كتلة الجسم أعلى من 30 هم أكثر عرضة للحمل بتوأم.
التاريخ الشخصي
إذا كنتِ قد حملتِ بتوأم خلال حمل سابق، فمن المرجح أن تحملي بتوأم مرة أخرى.
ما هي الأنواع المختلفة من التوائم؟
التوائم الأخوية
عندما يقوم اثنان من الحيوانات المنوية بتخصيب بيضتين في دورة واحدة. وينتج عن ذلك مشيمة منفصلة لكل طفل. الحمض النووي للتوأم الأخوي يشبه الحمض النووي للأشقاء من مختلف الأعمار، وقد يكونا من نفس الجنس أو من جنس مختلف.
التوائم المتطابقة
عندما ينقسم جنين واحد من بويضة واحدة وحيوان منوي واحد إلى قسمين. قد يتشارك التوأم في مشيمة واحدة أو يكون لهما مشيمة منفصلة. التوائم المتطابقة تكون دائما من نفس الجنس.
التوائم الملتصقة
هي حالة نادرة للغاية وتحدث عندما لا ينقسم جنين التوأم المتماثل بشكل كامل. يتم دمج أجساد الأطفال وقد يتشاركون في الأعضاء الحيوية. النقاط المشتركة للانصهار هي الصدر أو البطن، وهذا يمكن أن يؤدي إلى الكبد أو القلب المشترك. وتعرفي هنا ما الفرق بين الحمل بتوأم والحمل بواحد؟
المضاعفات المرتبطة بالحمل بتوأم
- فقر دم
- الحالات الخلقية
- سكري الحمل
- ارتفاع ضغط الدم أثناء الحمل
- تقييد النمو داخل الرحم
- انخفاض السائل الأمنيوسي
- انفصال المشيمة
- مخاض مبكر
- الكثير من السائل الأمنيوسي (استسقاء السلى)
وقد تحدث متلازمة نقل الدم من توأم إلى توأم، حيث يحصل توأم واحد فقط على إمدادات كافية من الدم في الرحم.

كيف يتم رعاية المرأة خلال الحمل بتوأم؟
في حالة الحمل بتوأم، تواجه كل من المرأة الحامل والتوأم خطرًا أكبر لحدوث مضاعفات. يتم إجراء فحوصات ما قبل الولادة بشكل متكرر أكثر في حالة الحمل بتوأم، مما يجعل من الممكن اكتشاف المشكلات في المراحل المبكرة.
يعد الحمل بتوأم عالي الخطورة نظرًا لوجود العديد من المضاعفات المحتملة، تتلقى العديد من الحوامل الرعاية ما قبل الولادة من خبراء طب الأم والجنين. وهنا أبرز حبوب تنشيط المبايض للحمل بتوأم ومدى فعاليتها
فترة الحمل الكاملة هي 37 أسبوعًا، ولكن نادرًا ما تستمر حالات الحمل بالتوأم هذه المدة، حيث يستمر الحمل التوأم النموذجي من 35 إلى 36 أسبوعًا.
وبرأي الشخصي كمحررة، اكتشاف الحمل بتوأم أمراً مثيراً، ولكنك قد تشعرين أيضاً بالإرهاق. يتطلب الحمل بتوأم زيارات متكررة قبل الولادة لأن هناك فرصًا كبيرة لحدوث مضاعفات، تلد معظم النساء الحوامل قبل فترة الحمل الكاملة وبعملية قيصيرية.
