نور جمال نور جمال 17-07-2023
اكتشفي أفضل وقت لعمل سونار تكيس المبايض

اكتشفي أفضل وقت لعمل سونار تكيس المبايض المعروف بأنه اضطراب هرموني شائع بين النساء في سنّ الإنجاب، وقد تسهم عوامل وراثية وبيئية في تطوره.

ias

تتعدد أسباب تكيس المبايض وعوارضه، كذلك تشخيصه الذي يكون عبر الفحص السريري، أو التحاليل المخبرية أو الموجات فوق الصوتية للحوض لقياس حجم المبيضين وعلامات تكيسهما، فإليك المزيد في هذا الموضوع.

تعريف تكيس المبايض

بداية، إن تكيس المبايض هو اضطرابٌ هرمونيٌّ شائعٌ بين النساء في سنّ الإنجاب، عادة ما يبدأ عند البلوغ، وهو عبارة عن مجموعة من العوارض المتعلقة باختلال التوازن الهرموني الذي يسبب مشاكل في المبايض ممّا يؤدي إلى عدم تطوّر البويضة كما يجب، أو لا تطلق أثناء فترة التبويض. وبالمناسبة، لك أن تطلعي هنا على أفضل سنّ للحمل.

ويُعد الطمث غير المنتظم، نمو شعر غير مرغوب فيه، وحبّ الشباب من أهم عوارضه، في حين أن التشخيص المبكر يعدّ أمراً مهماً جداً، لأنه يمكن أن يسمح بإدارة العوارض وقد يمنع تطور مشاكل صحية طويلة، كذلك، فإن اتباع نظام غذائي صحي مع ممارسة النشاط البدني وتناول بعض الأدوية التي يصفها الطبيب من شأنها أن تساعد في السيطرة على العوارض.

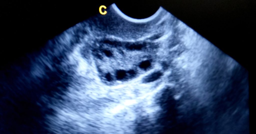
إليك الوقت الأفضل لإجراء سونار تكيس المبايض
تكيس المبايض هو اضطراب هرموني شائع بين النساء في سنّ الإنجاب

متى عليك إجراء فحص السونار؟

كما قلنا سابقاً، فإن التشخيص المبكر أمرٌ في غاية الأهمية لإدارة العوارض ومنع تطور مشكلة صحية طويلة، ويعد السونار أو الموجات فوق الصوتية من الوسائل التي يتم اللجوء اليها للتشخيص، ويعدّ أفضل وقت لعمل سونار تكيس المبايض، هو الفترة ما بين اليوم 12 إلى 15 من الدورة الشهرية، وتالياً، هي فترة الاباضة التي تكون بعد انتهاء الدورة الشهرية بحوالي 7 أيام.

وفي السياق، عليك زيارة الطبيب والقيام بالفحوصات اللازمة بمجرد أن تشعري بعوارض تكيس المبايض، منها عدم انتظام الدورة الشهرية، ظهور حب الشباب، البشرة الدهنية، زيادة نمو الشعر على الوجه والصدر أو الفخذين، وزيادة الوزن وغيرها من العوارض التي يجب ألا تهمليها، مع الاشارة إلى أن عوارض تكيس المبايض تختلف عن عوارض الحمل، مع الاشارة، إلى أن عوارض الحمل قد تتشابه فقط في البداية مع عوارض تكيس المبايض من ناحية تأخر الدورة الشهرية أو غيابها.

الحمل التشخيص المبكر الدورة الشهرية السونار الصحة النسائية المبيض الهرمونات تكيس المبايض تكيسات المبيض سونار

مقالات ذات صلة

امرأة تشرح للطبيبة ألم المعدة
اعراض الحمل هل الم المعدة من اعراض الحمل​: إليكِ الأعراض الأقلّ شيوعًا للحمل!
أعراض الحمل الأقلّ شيوعًا
امرأة حامل تنظر إلى بطنها
الأسبوع الخامس عشر هل يتحرك الجنين في الأسبوع 15​: معلومات تعرفينها لأوّل مرّة!
تطورات الحمل الأسبوعية
امرأة حامل تبكي
صحة الحامل هل البكاء يؤثر على الجنين​: دراسات جديدة تحسم الأمر!
ما أثبتته الدراسات
امرأة حامل تمشي
رشاقة الحامل المشي في الاسبوع 33 من الحمل: إليكِ فوائده الصحية لكِ ولجنينكِ!
كل ما ترغبين في معرفته
امرأة في شهور الحمل الأخيرة
صحة الحامل هل تقل حركة الجنين في الشهر التاسع​: إليكِ ما ترغبين في معرفته!
لن تقلقي بعد اليوم
صورة بالموجات فوق الصوتية للجنين
صحة الحامل هل يتحرك الجنين في الشهر الثاني​: إليكِ الإجابة الدّقيقة بحسب الدّراسات!
تطوّرات حملكِ الشهريّة
امرأة حامل تحمل مكمل اوميغا 3
صحة الحامل متى يؤخذ اوميغا 3 للحامل​: عنصر يُظهر قوّته في تحصين جنينكِ!
اليك التفاصيل
امرأة حامل في حقل القمح
الجنين كثرة حركة الجنين في الشهر السادس​: كلّ ما ترغبين في معرفته عن هذا الشهر من الحمل!
كل ما تريدين أن تعرفيه
تحليل سلبي للحمل
مشاكل الحمل ماجتني الدوره ومافي اعراض حمل​: إليكِ أسباب تأخر الدورة الشهرية!
كل ما تريدين معرفته
امرأة عند الطبيبة النسائية
اعراض الحمل اعراض الحمل الاسبوع الثاني: ستتمكنين من اكتشافها بسهولة!
أعراض أوّلية
تأخر التبويض
التبويض التبويض المتأخر متى يبان الحمل​
كل ما تريدين معرفته
امرأة تعاني من غثيان الحمل
اعراض الحمل ماهى اعراض اول يوم حمل​: تابعي رحلة حملك من الأيام الأولى!
كل ما ترغبين في معرفته

تابعينا على