ريف ريف 17-06-2014
ما هو كيس المبيض؟

كيس المبيض عبارة عن ورم غير يتشكل في أي مرحلة عمرية لدى النساء، مشابه لكيس صغير مملوء بالسوائل، غالبا ما يكون حجمه أقل من 5 سم. ينقسم الكيس إلى نوعين: الكيس الوظيفي ويمثل 90 في المئة من حالات الأكياس المبيضية، ويرتبط بوجود خلل هورموني، هذا الكيس قد يختفي تلقائيا في غضون أشهر أو مع العلاج بالأدوية .

ias

7 اعراض تدل على حدوث الحمل خارج الرحم

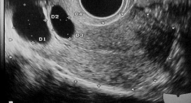
ـ الكيس العضوي نادراً ما يحدث، وهو يحتاج الى تدخل سريع لتجنب مضاعفاته الخطيرة. ويمكن الكشف عن كيس المبيض من خلال اعراض عدة وهي: وجود ألم في أسفل البطن، جس كتلة في البطن، اضطرابات في الدورة الشهرية، إمساك، ظهور حب الشباب، تكاثر شعر الجسم، مشكلة العقم.

5 نصائح لتجاوزِ حملٍ عالي الخطورة

كما يمكن الكشف عن وجود كيس المبيض بواسطة الموجات فوق الصوتية البسيطة، لدى طبيب النساء المختص. أما بالنسبة الى العلاجات فتختلف حسب طبيعة الكيس، وغالبا ما يصف الطبيب حبوب منع الحمل لمنع التبويض اثناء وجود كيس وظيفي، ومن الضروري متابعة طبية في الأشهر الموالية للتأكد من أن الكيس اختفى. وفي حال وجود الكيس العضوي المؤلم والكبير جدا، يجب إجراء عملية جراحية لتفادي المضاعفات كالتمزق والنزف.

الحمل صحة الحامل

مقالات ذات صلة

امرأة حامل تنظر إلى بطنها
الأسبوع الخامس عشر هل يتحرك الجنين في الأسبوع 15​: معلومات تعرفينها لأوّل مرّة!
تطورات الحمل الأسبوعية
امرأة تعاني من غثيان الحمل
اعراض الحمل ماهى اعراض اول يوم حمل​: تابعي رحلة حملك من الأيام الأولى!
كل ما ترغبين في معرفته
امرأة حامل تحمل مكمل اوميغا 3
صحة الحامل متى يؤخذ اوميغا 3 للحامل​: عنصر يُظهر قوّته في تحصين جنينكِ!
اليك التفاصيل
امرأة حامل تمشي
رشاقة الحامل المشي في الاسبوع 33 من الحمل: إليكِ فوائده الصحية لكِ ولجنينكِ!
كل ما ترغبين في معرفته
امرأة عند الطبيبة النسائية
اعراض الحمل اعراض الحمل الاسبوع الثاني: ستتمكنين من اكتشافها بسهولة!
أعراض أوّلية
امرأة حامل في حقل القمح
الجنين كثرة حركة الجنين في الشهر السادس​: كلّ ما ترغبين في معرفته عن هذا الشهر من الحمل!
كل ما تريدين أن تعرفيه
تأخر التبويض
التبويض التبويض المتأخر متى يبان الحمل​
كل ما تريدين معرفته
امرأة في شهور الحمل الأخيرة
صحة الحامل هل تقل حركة الجنين في الشهر التاسع​: إليكِ ما ترغبين في معرفته!
لن تقلقي بعد اليوم
امرأة تشرح للطبيبة ألم المعدة
اعراض الحمل هل الم المعدة من اعراض الحمل​: إليكِ الأعراض الأقلّ شيوعًا للحمل!
أعراض الحمل الأقلّ شيوعًا
صورة بالموجات فوق الصوتية للجنين
صحة الحامل هل يتحرك الجنين في الشهر الثاني​: إليكِ الإجابة الدّقيقة بحسب الدّراسات!
تطوّرات حملكِ الشهريّة
امرأة حامل تبكي
صحة الحامل هل البكاء يؤثر على الجنين​: دراسات جديدة تحسم الأمر!
ما أثبتته الدراسات
تحليل سلبي للحمل
مشاكل الحمل ماجتني الدوره ومافي اعراض حمل​: إليكِ أسباب تأخر الدورة الشهرية!
كل ما تريدين معرفته

تابعينا على